Your future awaits...

PRICE ESTIMATOR

Powered By: BuildMyHealth ®

Back Arrow BACK HEAD & NECK
Nonsurgical Eye Rejuvenation with Radiesse, Juvederm or Belotero - Jonathan Kaplan
Click
to
Buy
Before/After Images AvailableVideos AvailablePurchasable Item
For patients who have a tired or sunken appearance to their lower eyes, a gel can be injected into area where the lower lid meets the upper cheek to refresh the eyes. Discounted prices available when purchased online by clicking 'Buy Now.'

Videos and Photos

Photo Gallery

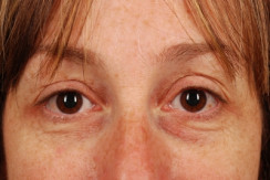
Before Image

Before: Injectables - Nonsurgical Eye Rejuvenation with Juvederm or Belotero

Forward Arrow
After Image

After: Injectables - Nonsurgical Eye Rejuvenation with Juvederm or Belotero

Before Image

Before: Injectables - Nonsurgical Eye Rejuvenation with Juvederm or Belotero

Forward Arrow
After Image

After: Injectables - Nonsurgical Eye Rejuvenation with Juvederm or Belotero

Before Image

Before: Injectables - Nonsurgical Eye Rejuvenation with Radiesse, Juvederm or Belotero

Forward Arrow
After Image

After: Injectables - Nonsurgical Eye Rejuvenation with Radiesse, Juvederm or Belotero